Ако ни изпратите актуална панорамна рентгенова снимка и вашите дентални снимки, нашите лекари специалисти ще оценят състоянието ви. Ако сте доволни от плана за лечение и цената, която ви е изпратена, можете да организирате вашето пътуване и настаняване. При първата среща ще бъде приложен план за усмивка с помощта на изображения и рентгенови лъчи. След организиране на всички детайли започваме Вашето лечение. Вашето удовлетворение е наш приоритет! След вашето лечение и престой, ние ви изпращаме до летището и се грижим да се върнете щастливо у дома. След като завършва факултета по дентална медицина на университета Мармара в Истанбул през 1996 г., д-р Мете Читир завършва специалност по лицево-челюстна хирургия и докторска програма на същия университет през 2001 г. и получава титлата лицево-челюстен хирург. По време на своето пребиваване той е посещавал стипендиантската програма на катедрата по орална и лицево-челюстна хирургия на болница Beilinson в Израел в продължение на 18 месеца. Като колега-ординатор, той е получил обширно обучение по ортогнатична хирургия, лицево-челюстна травма, реконструктивна лицево-челюстна хирургия и напреднала хирургия на импланти. Продължавайки своята професия в своята клиника в Текирдаг от 2004 г. насам, д-р Мете Читир приема пациенти във всички области, обхванати от неговия опит. Инфекциите, кистите и туморите в челюстите, фрактурите на челюстите и възстановяването на костите, особено при пациенти с импланти, изискващи напреднала хирургия, са от особен интерес за професията. Ние ви предлагаме безопасно и комфортно лечение с нашия специализиран лекарски екип и най-новите видове оборудване. Ние се грижим за всички детайли от вашето планиране на лечението до пътуването и настаняването. В момента, в който пристигнете в нашата страна, ние не ви оставяме на мира! Ние ви посрещаме на летището и ви отвеждаме до вашия хотел и нашата клиника. Ние се грижим за комфортен и безопасен престой. Излагаме най-добрата си работа, за да ви удовлетворим. След като приключите с лечението и престоя си, ние ви отвеждаме до летището и се грижим да се върнете у дома с най-голямата усмивка на лицето. Със снимките, които подбрахме за вас, можете да станете свидетели на невероятното пътуване на нашите пациенти. 3700+ ПАЦИЕНТИ 17+ ГОДИНИ ОПИТ 4000+ ЗЪБНИ ИМПЛАНТИ компетентен, професионален, Заведох майка ми при него. Той извади ударен мъдрец, без да причини болка. Той постигна това, което другите 2 зъболекари не можаха. Ето как може да бъде един лекар специалист. Много благодаря. Аз и съпругата ми извадихме мъдрец. Той е много опитен и бърз. Това е клиника, която можете да посетите спокойно. Той буквално спаси живота ми и не мога да му благодаря достатъчно. Погрижете се за усмивката си!
Планирайте своето лечение
Пътуване, Настаняване
Процес на лечение
Върнете се у дома щастливо
Нашите лечения

За нас
Защото всеки го заслужава Усмихни се.
Медицински туризъм











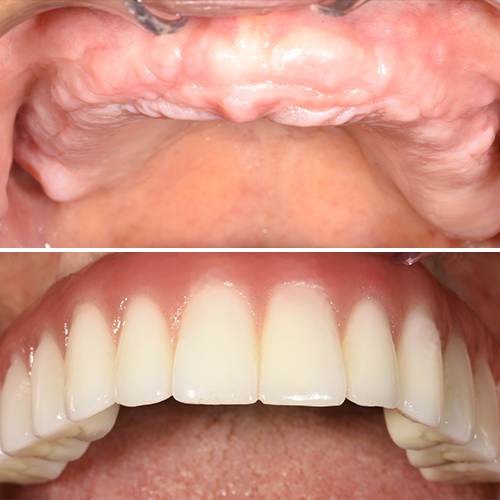
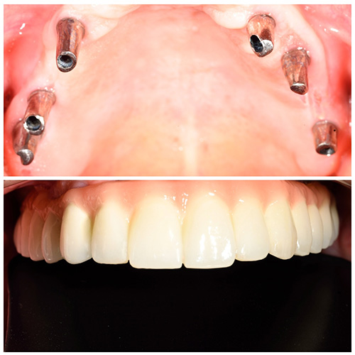
Преди след
Опознайте ни от нашите пациенти
и ориентиран към пациента лекар, когото някога съм познавал. От много време го посещавам от Истанбул. Бих искал да му благодаря за търпението и професионализма по време на лечението ми.Aytek Köprüceli
Kaan İzgi
Cumhur Pehliser
Egemen Cemil Yazıcı

ЧЗВ
Галерия





















